目前16層螺旋CT已經成為了臨床應用型CT的代表之作,很多醫院在采購了16層CT之后實現了診療水平的跨越,這正是醫院發展最迫切需要的。
目前臨床對于16層CT的認可主要集中在三維成像領域上的突破.在16層CT的產品平臺上,常規掃描就能實現滿足三維成像的要求,因此16層也被稱為三維CT,三維成像給臨床診斷帶來了更精確更豐富的診斷信息,我們以臨床為例:


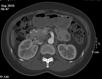
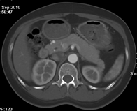
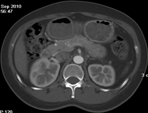
如上圖所示,相鄰的三張軸位圖像未見明顯異常,根據傳統軸位圖像很難得到準確的臨床診斷。

同一病人利用容積數據進行三維處理后,高品質MPR和三維圖像上則清晰顯示了縱向排列的腹腔干與腸系膜上動脈相鄰近,血管發生變 異,近端血管閉塞,為臨床提供了精確的診斷信息。
從上面的例子可以看到,能否為臨床提供高品質的三維影像成為了16層CT的核心價值,而東芝新一代的 全景三維16層CT擁有最為 先進的3項核心技術,在16層核心價值上的表現自然值得期待。
TCOT+----------全景三維重建算法
三維影像最核心的價值在于高精度的重現人體真實的三維結構,而以往的CT在采集中受到錐形線束偽影的影像視野邊緣的數據不足,因而傳統的重建算法獲得三維圖像易出現邊緣失真,進而影響臨床診斷。
東芝專利的TCOT+算法基于AQUILION ONE動態容積CT的全景重建技術,最大限度的抑制了錐形線束偽影對三維圖像的影響,使邊緣數據量增大了25%,從而實現。
全新三維模板
全景三維CT內置全新三維模板系統,臨床只需要選擇病人容積數據,點擊相應模板系統就能自動生成臨床需要的三維影像。全景三維CT還具備獨特的多組織疊加和MPR融合功能,可以根據不同組織密度進行提取和標記后將圖像按照臨床需求進行融合顯示,也可以將MPR和三維圖像融合同時提供二維和三維結構的一體化圖像,這些先進的三維影像處理方式能夠為臨床提供更為豐富的診斷信息和更加直觀的高品質三維影像。
先進的智能操作系統------提升工作效率
智能導航模式
全景三維CT具備創新的導航模式,全程的圖形化界面引導模式幫助即使沒有CT使用經驗的人員也能在幾分鐘內熟練的掌握 病人登記,掃描計劃選擇,定位相采集直至整個掃描完成的全過程。有了導航模式您可以輕松地度過與CT設備的磨合期, 盡快的掌握設備的使用。導航模式使一切盡在您的掌握
智能造影劑捕捉
對比劑在血管的最佳充盈期相轉瞬即逝,以前我們僅能依靠醫生的經驗來判斷造影劑達到血管病變部位的時間,或者進行量造影劑的團注試驗來預估設置延遲掃描時間。
這樣的操作模式不僅浪費造影劑,降低了檢查效率,而且很難捕捉到造影劑充盈的最佳期相,無法保證在最佳的期相采集增強圖像。
東芝為了使全景三維CT幫助臨床更加方便的完成增強的檢查,不惜成本實現了對造影劑的超高速動態監測,以12幅/秒的超高速度監測血管病變部位的造影劑濃度,達到預設濃度后自動啟動掃描過程,捕捉最佳充盈期相,為增強檢查采集最佳的期相數據。并且在檢測過程中如病人發生位置移動可實時調整監測區域跟蹤目標部位,保證最準確增強期相撲捉
智能去骨功能
CT圖像采集完成后的后處理過程會占用醫生很大的精力去進行血管組織的剝離,其中最困難的步驟莫過于對遮蔽血管的骨骼組織的去除。
全新微輻射成像平臺AIDR 3D
三維全景CT具備高端CT才擁有的微輻射成像平臺AIDR 3D,一旦采用低劑量參數進行CT檢查,自動采用AIDR3D自適應容積迭代降噪重建算法進行圖像重建。這種高級迭代重建技術在兩個空間進行降噪處理。第一步在三維原始數據空間進行降噪處理。第二步在圖像重建空間采用基于最佳的解剖模型進行容積迭代降噪重建, 應用多種自適應的器官模型和濾波算法,在不降低空間分辨率的前提下,最大程度降低噪聲。低劑量的原始數據本身固有低的信噪比。AIDR3D能夠自適應的針對掃描條件、電子和量子噪聲進行去除。結果信號被最大程度保留,而噪聲和偽影被顯著降低。基于被大幅度降低噪聲的原始數據,開始進行初級的圖像重建。AIDR 3D進而在圖像重建空間應用專利的容積迭代增強算法。這種算法自適應于不同的器官和重建濾波,最大程度減低噪聲的同時提高三維圖像質量。最后進行容積迭代重建和容積基礎重建的自適應融合進而產生ADIR3D低劑量圖像,融合處理可以真實還原極低劑量采集圖像,沒有蠟像征和塑化征,能夠顯著提升低劑量成像效果,提升50%的圖像質量,并降低75%的成像劑量。
三維劑量控制
最佳的影像質量—好
最快的全景三維重建系統—快
最低的成像劑量—省
最大的全身掃描范圍—強

使用AIDR 3D 150mAS 普通掃描375mAs
